متى أتخلص من الألم في موضع الكسر؟

نشر في 12-11-2012 | 00:01
آخر تحديث 12-11-2012 | 00:01
No Image Caption
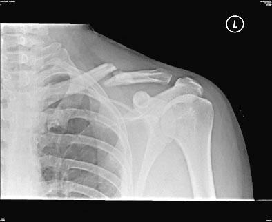
كسر عظم الترقوة (collarbone) في كتفي عندما تعرضت لحادث سيارة قبل أربعة أشهر. لكن عملية الشفاء بطيئة، وما زلت أشعر بألم في موضع الكسر، خصوصاً حين أحرك كتفي. هل هذا طبيعي، أم أني قد أضطر إلى الخضوع لجراحة إن لم يختفِ الألم؟
قد يحتاج كسر عظم الترقوة إلى بضعة أشهر ليشفى تماماً. حتى ذلك الحين، ستشعر بالألم كلما حركت كتفك لأنك بذلك تحرك موضع الكسر. تشفى كسور الترقوة عادة بالكامل ولا تحتاج إلى جراحة. ولكن حين تبدو عملية الشفاء بطيئة ويتواصل الألم، كما في حالتك، قد يكون من الأفضل استشارة جراح عظم للتأكد من عظم الترقوة يلحم جيداً.

يصل عظم الترقوة الجهة العلوية من عظم الصدر، الذي يُدعى عظم القص، بعظم الكتف. ويُعتبر كسر الترقوة شائعاً، خصوصاً بين الأولاد والشبان. ويعود ذلك إلى أن الشبان يمارسون عادة رياضات تزيد من احتمال كسر عظم الترقوة، مثل كرة القدم، كرة السلة، المصارعة، الرغبي، الهوكي، والتزلج. نتيجة لذلك، تشكّل الإصابات الرياضية من الأسباب الشائعة لكسر عظم الترقوة. من الأسباب الأخرى السقوط وحوادث السيارات والدراجات النارية والهوائية.

يختلف الوقت الضروري لشفاء عظم الترقوة كاملاً باختلاف حدة الإصابة. في حالة الأطفال، يتم الشفاء التام بعد نحو ثلاثة إلى ستة أسابيع. أما في حالة البالغين، فيتطلب من ستة إلى 16 أسبوعاً أو أكثر.

من المؤسف ألا طريقة لتثبيت الترقوة خلال هذه الفترة ومنعها من الحركة بهدف تسريع عملية الشفاء، كما يحدث عند تجبير عظام أخرى مكسورة، مثل عظم المعصم أو الساق أو القدم. ولكن من الممكن استعمال رباط للكتف لإبقاء الترقوة في مكانه، التخفيف من الألم، والإتاحة للكسر الالتئام. لا شك في أن العظم سيتحرك قليلاً عندما تحرك كتفك، ما قد يسبب لك الكثير من الألم خلال عملية الشفاء، فضلاً عن أن تحريك الكتف باستمرار قد يؤخر الشفاء.

إن لم تخضع للتصوير بالأشعة السينية منذ أن كسرت الترقوة، فقد يكون من الأفضل الخضوع لصور جديدة في هذه المرحلة للتحقق من تقدّم عملية الشفاء. يُشفى بعض كسور عظم الترقوة ببطء شديد، في حين أن بعضها الآخر قد لا يشفى البتة ويحتاج إلى علاج إضافي، مع أن هذه الحالة الأخيرة نادرة. لا شك في أن الكسور الكبيرة التي تؤدي إلى ابتعاد العظم عن موضعه أو تجعل قطع العظم المكسور تتداخل تتطلب جراحة لإعادة العظم على مكانه. ولكن في معظم الحالات الأخرى، لا تحتاج كسور الترقوة إلى جراحة، حتى وإن كانت تلتئم ببطء.

من الضروري أن تستشير جراح عظم وتناقش معه حالتك. قد يقترح عليك الجراح طرقاً مناسبة لتتحكم في ألمك بشكل أفضل. كذلك يستطيع هذا الجراح مساعدتك على اتخاذ القرار في شأن ما إذا كنت تحتاج إلى أي علاج إضافي لتعزيز عملية الشفاء أو ما إذا كان عظم الترقوة يحتاج إلى مزيد من الوقت فحسب ليشفى.

back to top