المقوّسات القنديّة تؤثّر في السلوك البشري

نشر في 21-06-2010 | 00:01
آخر تحديث 21-06-2010 | 00:01
No Image Caption
إن اخترقت حشرة فضائية أدمغة نصف السكّان، وسيطرت على بنيتها العصبية، وغيّرت طريقة عملها وأثارت جنون بعضها، عندئذ نستطيع توقّع ظهور عناوين رئيسة حماسية في الصحافة. لكن لعلّ مثل هذا الأمر المقلق يحدث فعلاً من دون أن يعي العالم ذلك.
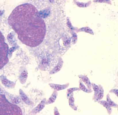
المقوّسات القندية (Toxoplasma gondii) ليست حشرة فضائية، وإنما من السلالة عينها التي تنتمي إليها جرثومة بلازموديوم Plasmodium المسبِّبة للملاريا. هذا الطفيلي واسع الانتشار، إذ أن 60 في المئة من السكّان في بعض أجزاء العالم مصابون به، وقد يلحق الضرر بالأجنة والأشخاص المصابين بمرض الإيدز، لأن الجهاز المناعي لدى هؤلاء لا يستطيع التكيّف معه. مع ذلك، قد تكون العوارض لدى الآخرين مشابهة لعوارض انفلونزا خفيفة. لذلك لا داعي للقلق بشأنهم، باستثناء أن الأدلة التي تشير إلى تغير سلوك بعض هؤلاء الأشخاص بشكل دائم تزداد.

أحد الأسباب التي تدفعنا إلى الاعتقاد بذلك أن نسبة الإصابة بالمقوسات القندية في بلد ما مرتبطة على ما يبدو بنسبة الاضطراب العصبي الظاهر لدى سكّانه. والسبب الآخر أن أولئك المصابين بها يبدون عاجزين عن توليد ردود فعل سريعة وأكثر ميلاً إلى التعرّض لحوادث طرقات. في المقابل، يُعزى السبب الثالث إلى قصر فترات انتباههم وعدم اهتمامهم بالبحث عن كل ما هو جديد. أمّا السبب الرابع، والأكثر إثارةً للقلق على الأرجح، أن أولئك المصابين بالفصام أكثر عرضةً من الأصحاء للإصابة بداء المقوّسات.   

لا يبدو أي من ذلك مفاجئاً، ذلك لأن طفيلي المقوّسات القندية يحل ضيفاً على جنسين غير البشر: القوارض والقطط، مع الإشارة إلى أن آثاره على القوارض غريبة فعلاً.

انجذاب مميت

تجري جوان ويبستر من جامعة Imperial College بحوثاً حول المقوّسات القندية منذ سنوات. على غرار البلازموديوم، التي تتنقل دورياً بين البعوض والإنسان، تنتقل المقوّسات القندية بين مضيفيها من القوارض والقطط، حيث تعيش مراحل حياتية مختلفة في كلّ منهما. ففي القطط، تسكن جدار الأمعاء الدقيقة وتخرج منها عبر البراز الذي تلتقطه عندئذ الجرذان والفئران (فضلاً عن ثدييات أخرى بما فيها البشر)، حيث تشكّل أكياساً في الدماغ، والكبد، ونسيج العضلات. في النهاية، إن حالف الحظ هذه الطفيليات، ستأكل قطّة المضيف القارض وتبدأ الدورة برمتّها مجدداً.     

لكن بخلاف جرثومة البلازموديوم التي قد تعتمد على سلوك البعوض الطبيعي للانتشار، تظهر القوارض المضيفة للمقوّسات القندية امتناعاً قوياً في مساعدة هذا الطفيلي على الانتقال إلى مأواه التالي. فيحدث ههنا الانجذاب المميت إلى القطط، بحسب تعبير ويبستر المنمّق. تبدأ الجرذان والفئران المصابة بداء المقوّسات بالتجوّل في الأرجاء ولفت الانتباه إليها. بمعنىً آخر، تبدأ بالتصرف بطرق ستجذب انتباه القطط إليها. وبحسب ما توصلّت إليه ويبستر، قد تنجذب أيضاً إلى رائحة القطط.  

حتّى وقت ليس ببعيد، ظلّ السبب وراء هذه التغييرات في السلوك غامضاً. لكن غلين ماكونكي من جامعة ليدز في إنكلترا، حلّل في العام 2009 حمض المقوّسات القندية النووي. وحين قارن النتائج بتلك الخاصة بالأجناس الأخرى، اكتشف أن اثنتين من جينات ذلك الطفيلي تكشف عن أنزيمات مسؤولة عن إنتاج جزيئة تُدعى الدوبامين. تؤدي هذه الجزيئة، في الحيوانات التي تملك جهازاً عصبياً، دور وسيط كيماوي بين الخلايا العصبية، لكنها لا تشتهر بأي دور في الكائنات الأحادية الخلية. فضلاً عن ذلك، ثمّة رابط بين الدوبامين خصوصاً وبين الفصام. لذلك، يُستخدم عقار هالوبيريدول المضاد للذهان، لتعطيل مستقبلات الدوبامين.

وعلى نحو مثير للاهتمام، اكتشفت ويبستر بأن الهالوبيريدول هدفه وقف الانجذاب المميت إلى القطط لدى الجرذان. ذلك يعني بأن الطفيلي يصيب فعلاً نظام الدوبامين في الدماغ، وأنه يقوم بالمثل على الأرجح لدى البشر. في هذا الإطار، يعد الدكتور ماكونكي اليوم نسخةً عن طفيلي المقوّسات القندية استؤصلت منه الجينات المنتجة للدوبامين، لمعرفة إن كانت الجرذان المصابة بهذه الحشرة المعدّلة محصّنة ضد الانجذاب المميت.   

منتدى الثقافات

لا بد من القول إن الدليل على أن داء المقوّسات البشري لديه تأثير أكبر مما يبدو عليه ظاهرياً قوبل بلا مبالاة، لكنه مثير للاهتمام ويستحق على الأرجح المتابعة.

ذُكر الرابط بين داء المقوّسات والفصام بدايةً في خمسينات القرن الماضي، لكنه شاع فعلياً في العام 2003 حين جدد فولر توري من معهد ستانلي للأبحاث الطبية بالقرب من العاصمة واشنطن الحديث عنه. اكتشف الدكتور فولر بالتعاون مع بوب يولكن من جامعة جون هوبكنز بأن المصابين بالفصام أكثر ميلاً بثلاث مرات تقريباً إلى إنتاج أجسام مضادة ضد المقوّسات القندية من عموم الناس.ذلك لا يثبت قطعاً أن المقوّسات القندية تسبّب الفصام. يُلقّن كل طالب علوم منذ بداية دراسته بأن الارتباط لا يعني السببية. قد يكون المصابون بالفصام، أو أشخاص آخرون، أكثر عرضةً للإصابة بهذا الطفيلي بسبب احتمال تورّط عامل متغيّر لم يُحدد بعد.  

مع ذلك، اكتشف ياروسلاف فليغر من جامعة تشارلز في براغ ارتباطاً آخر لافتاً. بحث فليغر في مظاهر عدة تخص المقوّسات القندية. وفي أحد البحوث، درس معدل إصابة الأشخاص الذين تعرضوا لحوادث طرقات. بدا السائقون والمشاة الذين تعرّضوا لحوادث أكثر ميلاً بثلاث مرات تقريباً إلى الإصابة بالطفيلي مقارنةً بالأفراد الذين لم يتعرّضوا لحوادث. كذلك، توصّل كور ييريلي من جامعة جلال بيار في مانيسا في تركيا إلى نتائج مماثلة. من جهة أخرى، وجد الدكتور فليغر مشاكل أخرى لدى الأشخاص المصابين، منها تراجع زمن رد الفعل وقصر فترات الانتباه فضلاً عن تراجع "البحث عن كل ما هو جديد".  

هذا السلوك الأخير مثير للفضول، لأن البحث عن كل ما هو جديد يزداد لدى القوارض. لكن المغزى أن خاصية البحث عن كل ما هو جديد خاضع للخلايا العصبية التي تستجيب للدوبامين. فالإنسان مضيف عنيد لا يسمح بانتقال المقوّسات القندية، وإلا لما تولّد هذا الأثر بالانتقاء الطبيعي وقد يكون بالتالي مختلفاً عن ذلك الذي نلاحظه في الحيوانات التي تعود بالنفع على الطفيلي.

من الواضح بأن هذه الآثار المذكورة كافة تضر بالأشخاص المعنيين، لكن بعض الباحثين يمضي قدماً لافتاً إلى أن مجتمعات برمّتها تغيّرت بسبب المقوّسات القندية. في هذا الإطار، نشر كيفن لافرتي من جامعة كاليفورنيا، في سانتا باربرا، دراسةً تكشف عن ارتباط بين مستويات الاضطراب العصبي المؤكّدة في الإحصاءات المحلية في بلدان مختلفة ونسبة الإصابات بالمقوّسات القندية التي سُجّلت لدى الحوامل. تراوحت الأماكن التي أجرى بحثه فيها من بريطانيا بشعبها البارد حيث مستوى الاضطراب العصبي 0.8 ومعدّل الإصابة بالمقوّسات القندية 6.6% إلى فرنسا بشعبها الحاد الطباع والتي سجّلت 1.8 من حيث مستوى الاضطراب العصبي و45% لمعدل الإصابة بالمقوّسات القندية. لا بد من التأكيد ثانيةً على أن الارتباط لا يعني السببية، وسيتطلب إثبات هذه النقطة جهوداً كثيرة. لكن من الممكن جداً أن تكون رغبة طفيلي في أن تأكله قطة السبب في تشكيل ثقافات العالم.

back to top